呼吸器系 (呼吸装置、換気系とも) は、気道と肺で構成されます。気道には、鼻、咽頭、喉頭、気管、気管支が含まれます。鼻、咽頭、喉頭は通常上気道と呼ばれ、すべてのレベルの気管と気管支は下気道と呼ばれます。
肺は呼吸器系の中で最も重要な器官です。成人の肺には 3 億から 4 億個の肺胞が含まれており、これらは細気管支の繰り返しの枝です。その壁は薄く、上皮細胞の単層で構成されており、外層はガス交換の場所である毛細血管のネットワークに囲まれています。
この記事では、科学研究に役立つ呼吸器関連の抗体マーカーを紹介します。
呼吸器系の一般的な抗体マーカー
1. 気管上皮細胞マーカー
CK5 / CK7 / CK8
2. 肺胞上皮細胞マーカー
CK18 / CK19 / RAGE / TTF-1 / SP A1 / SP C / ナプシンA
3. 肺腫瘍マーカー
肺腺癌: TTF-1 / ナプシン A / CK7
肺扁平上皮癌: p40 / CK5
4. 肺炎炎症細胞マーカー
T細胞:CD3 / CD4
B細胞:CD20
マクロファージ: CD68 / CD163 / CD206 / F4/80 / SIRP α
好中球: Ly6g / MPO
5. 肺線維症関連タンパク質
α-sma / コラーゲンI / コラーゲンIII
注記:Servicebio 抗体は研究目的にのみ使用できます。
気管上皮細胞マーカー
1. サイトケラチン 5 (CK5)
猫。番号: GB111246 / GB121246
サイトケラチン 5 (CK5) は、CK6 と密接に関連する塩基性タンパク質です。それらは同様の組織分布を有し、多くの非角化複合扁平上皮、例えば気管基底上皮において異なる割合で存在する。

2. サイトケラチン 7 (CK7)
猫。番号:GB12225
ケラチン 7 (CK7) は気管支で発現します。

3. サイトケラチン 8 (CK8)
猫。番号: GB11231
ケラチン 8 (CK8) は、内分泌細胞および外分泌細胞、ならびに中皮細胞を含む、消化管、呼吸器管、および泌尿生殖器管の腺上皮で発現されます。

肺胞上皮細胞マーカー
1. サイトケラチン 18 (CK18)
猫。番号:GB11232 / GB12232
サイトケラチン 18 (CK18) は、I 型サイトケラチンです。 CK18 とその繊維状シャペロン CK8 は、おそらく最も一般的な中間径フィラメント遺伝子です。 CK8/CK18 は単層上皮組織で発現します。

2. サイトケラチン 19 (CK19)
猫。番号: GB112161 / GB12197
サイトケラチン 19 (CK19) は、上皮細胞の中間径フィラメントの特徴的なタンパク質成分であり、広範囲の正常な上皮組織に存在します。

3. レイジ
猫。番号: GB11278
高度グリコシル化最終産物受容体 (RAGE) は、免疫グロブリン スーパーファミリー (IgSF) のメンバーです。 RAGE は発生初期および肺が正常な生理学的状態にあるときに検出され、RAGE は炎症部位で上方制御されます。

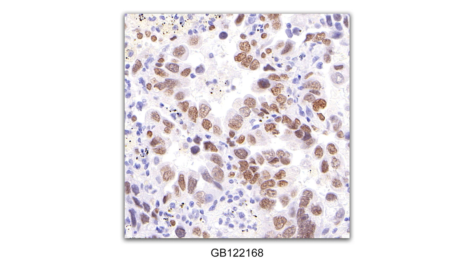
4.TTF-1
猫。番号: GB122168
転写終結因子 1 (TTF-1) は、核に局在する転写終結因子をコードする遺伝子であり、リボソーム遺伝子の転写において重要な役割を果たしています。

5. 界面活性剤プロテインA1 (SFTPA1/SP A1)
猫。番号: GB114165
肺サーファクタントは、肺胞気道上皮細胞 (II 型細胞) から分泌されるリン脂質とタンパク質の複雑な混合物で、肺胞の気液界面の表面張力を低下させ、それによって通常の換気に必要な肺胞の安定性をもたらします。
肺 SFTPA から単離された 4 つの異なるタンパク質は、SFTPA タンパク質 A、B、C、および D と呼ばれます。SP A (28-36 kDa) および SP D (43 kDa) はコラーゲン性炭水化物結合タンパク質であるのに対し、SP B ({{ 3}} kDa) および SP C (4 kDa) は、非コラーゲン性疎水性タンパク質です。
ヒト SFTPA1 および SFTPA2 遺伝子は SP-A1 および SP{{4}} タンパク質をコードしており、各遺伝子には多数の遺伝的変異があることが確認されています。

6. プロサーファクタント プロテイン C (SFTPC/SP C)
猫。番号: GB114059
SP C は、より大きな前駆体タンパク質の 21 kDa フラグメントです。この前駆体には、成熟 SP C の大部分と独自のポリバリン構造ドメインを含む 34 アミノ酸の超疎水性領域が含まれています。SFTPC 欠損症は、肺界面活性物質代謝機能障害 2 型 (SMDP2) の原因です。 SFTPC の遺伝子変異は、早産児の呼吸窮迫症候群と関連しています。

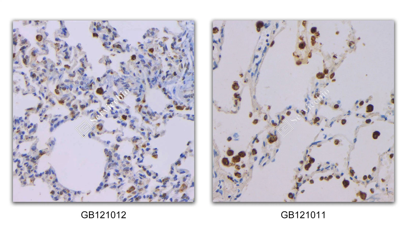
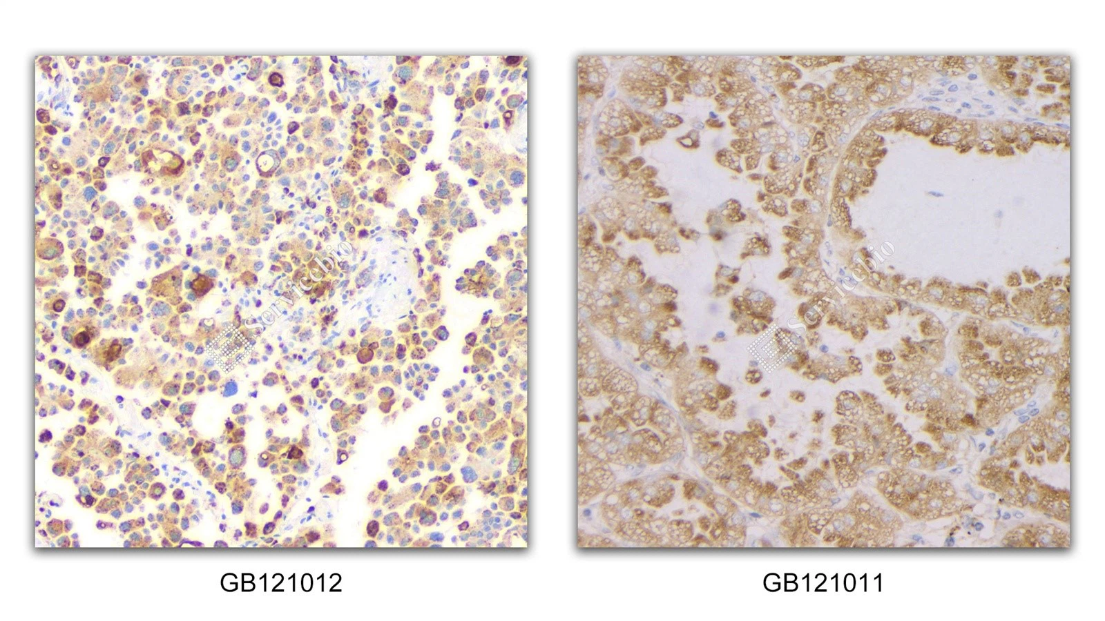
7.ナプシンA
猫。番号:GB121012 / GB121011

肺腫瘍マーカー
肺腺がん
1.TTF-1
猫。番号: GB122168
TTF-1 は腫瘍の分化度と正の相関があり、腫瘍の分化度が低いほど発現が低下する可能性が高くなります。
肺腺癌の約 75%-85% が陽性です。扁平上皮癌は通常、TTF-1 を発現しません。

2.ナプシンA
猫。番号:GB121012 / GB121011
ナプシン A は肺腺癌の 80% 以上で陽性に発現しており、TTF-1 とナプシン A は肺腺癌の診断に利用できる抗体の最良の組み合わせの 1 つです。

3. サイトケラチン 7 (CK7)
猫。番号:GB12225
肺腺癌のほぼ 100% が CK7 を発現しますが、CK7 の特異性は低いです。
肺腺癌の鑑別診断では、CK7 を TTF-1 およびナプシン A と組み合わせて使用する必要があります。

肺扁平上皮癌
1. p40
猫。番号: GB122169
p40 は p63 タンパク質のアイソフォームの 1 つであり、核に積極的に局在しています。これは、扁平上皮癌の最も特異的で感度の高いマーカーであると考えられています。
感度は p63 と同様ですが、特異性は p63 よりも優れています。扁平上皮癌の 96.8% 以上が陽性ですが、腺癌は基本的に沈黙性であり、多くの場合局所的な発現を示します。

2. サイトケラチン 5 (CK5)
猫。番号: GB121246
CK5 は CK6 と密接に関連する塩基性タンパク質であり、通常、扁平上皮細胞、管上皮の基底細胞、筋上皮細胞および中皮細胞で発現されます。
これは肺扁平上皮癌の 75% ~ 100% で発現され、分化や等級付けには関連しません。

肺炎炎症細胞マーカー
T細胞
1.CD3
猫。番号:GB11014 / GB111337
CD3 (分化クラスター 3) と T 細胞の共受容体はタンパク質複合体です。 CD3 分子の膜貫通領域は、塩橋によって TCR の 2 つのペプチド鎖の膜貫通領域に接続され、TCR-CD3 複合体を形成し、T 細胞による抗原の認識に集合的に関与します。

2.CD4
猫。番号:GB15064
CD4 は、ヘルパー T 細胞、制御性 T 細胞、単球、マクロファージ、樹状細胞の表面に発現し、T 細胞の発生と活性化において重要な役割を果たします。 T 細胞では、CD4 は T 細胞受容体 (TCR) の共受容体であり、これら 2 つの異なる構造は抗原主要組織適合性複合体 (MHC) を認識します。

B細胞
1.CD4
猫。番号:GB11540
CD20 は、B 細胞の活性化と増殖の制御に関与する細胞表面のリン酸化タンパク質です。これは、B 細胞を認識するためのマーカーとして一般的に使用され、B 細胞が形質細胞に分化するまでの発生全体を通じて発現されます。


*上記の図 1 のサンプルは、急性肺損傷の Servicebio ラット モデルです。
*図 2 のサンプルは、急性肺損傷のマウス LPS モデルです。
*図 3 のサンプルはラット肺塞栓症モデルです。
※図4のサンプルはラット肺高血圧症モデルです。
マクロファージ
1.CD68
猫。番号: GB113109
CD68 はマクロファージの標識に使用でき、細胞膜、エンドソーム膜、リソソーム膜上に存在します。

2.CD163
猫。番号: GB113152 / GB113751
CD163 は、マクロファージの表面に発現する膜貫通スカベンジャー受容体です。

3.CD206
猫。番号: GB113497
マンノース受容体/CD206 は、自然免疫系における重要なパターン認識受容体およびエンドサイトーシス受容体であり、主にマクロファージおよび樹状細胞の細胞膜表面に存在します。

4. F4/80
猫。番号: GB113373
F4/80 (EMR1) は、高度にグリコシル化された G タンパク質共役受容体であり、マウス マクロファージの決定的なマーカーです。

5. SIRP アルファ (SIRP)
猫。番号: GB113962
SIRP α は主にマクロファージの表面で発現し、他の細胞上の CD47 に結合してマクロファージに抑制シグナルを伝達し、標的細胞の貪食を阻害します。

好中球
1. Ly6g
猫。番号: GB11229
Ly6g は、骨髄分化抗原 Gr1 としても知られる GPI アンカータンパク質です。 Ly6G は主に好中球で発現しますが、好酸球、分化前単球、形質細胞様樹状細胞の部分集団でも発現します。

2. ミエロペルオキシダーゼ (MPO)
猫。番号:GB11224
ミエロペルオキシダーゼ (MPO) は、多形核白血球の宿主防御システムの一部であるペルオキシダーゼです。 MPO は好中球と単球で豊富に発現され、細胞の活性化中に分泌されます。 MPO レベルの上昇は、組織損傷や多くの病理学的状態と関連しています。

肺線維症関連タンパク質
1. α平滑筋アクチン(-SMA)
猫。番号:GB12045
ACTA2 (-SMA) は現在、筋線維芽細胞の特徴として認識されています。
細胞外マトリックスを生成する最大の能力を持つ線維芽細胞は、線維化中に究極のエフェクター細胞として機能し、さまざまな内部および外部要因からの刺激シグナルに応答し、その結果、形態および遺伝子発現プロファイルにさまざまな変化が生じます。例えば、線維芽細胞から、よりコラーゲンを産生する細胞である筋線維芽細胞に分化すると、大量のコラーゲンが分泌され、線維症が悪化します。

*左側のサンプルは肺高血圧症の Servicebio ラット モデルです。
*右のサンプルは、ブレオマイシン誘発肺線維症の Servicebio マウス モデルです。
2. コラーゲンI
猫。番号: GB11022-3
コラーゲン I は、骨、皮膚、腱などの人間の多くの組織に最も豊富に含まれるコラーゲンです。これは、2 分子の COL1A1 (α-1 1 型コラーゲン) と 1 分子の COL1A2 (α-2 1 型コラーゲン) からなる三量体複合体です。 COL1A1 の上方制御は細胞外マトリックスの環境を変化させ、大量の細胞外マトリックスの蓄積は肺線維症の発症における病因の 1 つです。

*右側のサンプルは、Servicebio ラットにおける BDL 誘発性肝線維症のモデルです。
3. コラーゲンⅢ
猫。番号: GB111629
コラーゲン III (COL3A1) は、3 つの同一の -1 鎖で構成される主要な線維状コラーゲンです。肺線維症疾患ではコラーゲン III の発現が増加することが示されています。

